DOLAR : 42,98₺
EURO : 50,58₺
STERLİN : 58,14₺
GRAM : 6.268,91₺
ÇEYREK : 10.298,81₺
CUMHURİYET : 40.866,51₺
Güncel

İnsan beyninin en güçlü MRI cihazıyla çekilen en net görüntüsü yayınlandı

Eklenme: 03.04.2024 - 09:48

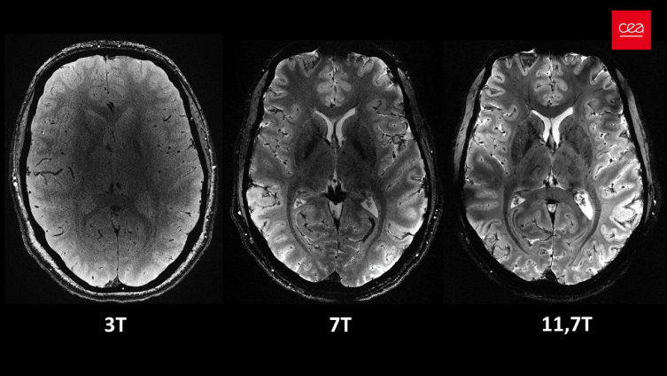
Fransa Atom Enerjisi ve Alternatif Enerjiler Kurumu (CEA), dünyanın en güçlü manyetik rezonans görüntüleme (MRI) cihazıyla elde edilen, insan beyninin en net görüntüsünü yayınladı.

İnsan beyninin en güçlü MRI cihazıyla çekilen en net görüntüsü yayınlandı
Reklam alanı

CEA'dan yapılan yazılı açıklamada "Iseult" adlı MRI cihazıyla çekilen beyin görüntüsünün 20 yıldan uzun süren bir çalışma sonucu elde edildiği belirtildi.

Yapılan çalışmalar kapsamında MRI cihazının son birkaç ay içerisinde yaklaşık 20 sağlıklı gönüllü üzerinde test edildiği kaydedilen açıklamada, neredeyse 4 dakikada en net beyin görüntüsünün elde edildiği aktarıldı.Açıklamada, 11,7 Tesla manyetik güce sahip Iseult MRI makinesiyle kısa sürede çekilen görüntülerin, hastanelerde yaygın kullanılan cihazlarla elde edilmesinin saatler sürebileceği kaydedildi.

Iseult Projesi Başkanı ve CEA Araştırma Direktörü Nicolas Boulant, yaptığı açıklamada, verilerin daha yüksek kalitede elde edilebilmesi için araştırmanın birkaç yıl daha devam edeceğini belirterek, hedeflerinin 2026-2030’a kadar nörodejeneratif hastalıkların yanı sıra şizofreni ve bipolar bozukluğu gibi psikiyatri alanındaki birçok hastalığı araştırmak olduğunu ifade etti.

Iseult MRI cihazı ile elde edilen ultra detaylı anatomik bilgilerin, Alzaymır ve Parkinson gibi hastalıkların teşhisinde yardımcı olması bekleniyor.


Kaynak: AA

Reklam alanı

Son dakika gelişmelerden anında haberdar olmak için WhatsApp haber kanalımıza katılın.

Kanala Katıl

Gelişmelerden zamanında haberdar olmak istiyor musunuz? Google News’te KONHABER'e abone olun.

Abone Ol
Yasal Uyarı: Yayınlanan haberler, köşe yazıları, fotoğraflar, yazı dizileri ve her türlü eserin tüm hakları Mirajans Medya İletişim Reklam Haber ve Prodüksiyon A.Ş.'ye aittir. Kaynak gösterilerek bile olsa eserin bütünü veya bir kısmı özel izin alınmadan kullanılamaz.

⚡ BU HABERE EMOJİYLE TEPKİ VER!

👏 1
❤️ 0
😊 0
😡 0
👎 0
😂 0
😢 0
😲 1
Toplam 2 tepki

Yorumlar

  • İlginçmiş 629 gün önce

    İlk resimde tek göz burtun deliği ve ağız var. Resmi büyütüp bakınca insan süretine benzettim. Beynin üst kısmı ise şapka gibi durmuş. Alttaki 7T resminde ise 2 siyah göz ve gözlerinin ortasında 2 beyaz renkte çatal kaş, ve ağzı açık ne kadar ilginç bütün beyinler aynı mı acaba bu kimin beyniymiş.20 sağlıklı gönüllüden birinin beyni böyleymiş demekki !!! Hastaların beynini merak ettim açıkçası. Beynimizin çok minik bir bölümünü kullanabiliyormuşuz %100 kullanabilsek acaba neler olur? Sanırım işte o zaman ışınlanmayı keşfedebiliriz, hatta geçmiş ve gelecek zaman yolculukları da yapabiliriz.

Yorum Yap